Our Service to You
However you want it, we can do it!
Types of Impressions

Plaster Model from Poured Impression
Before digital options became available, plaster models were the standard, and we have been doing it for years! With these years of experience, we are able to confidently trim dies with accurate margins and achieve proper bite articulations on our plaster models.
Learn More

Digital Impression from Intra-Oral Scanner
Over the last few years, we've become experienced utilizing digital impressions from our dentists to craft restorations, model free! Our dentists can use any intra-oral scanner to send us a digital impression which we import directly into our CAD software.
Learn More
Digital Model from Scanned Impression
The cutting-edge E4 scanner allows us to scan the impressions we receive from our doctors with extreme accuracy. The resulting digital scans are as accurate as our physical models, which grant us the ability to create model-free restorations without sacrificing quality!
Learn More
Products

PFM
Porcelain Fused to Metal
We design a coping using our CAD system and mill it out of a wax puck to achieve the same accurate margins as our other restorations. It is then cast into AR65 gold alloy, and layered with VMK Master or VMK95 porcelain, producing a beautiful final product.

PFZ
Porcelain Fused to Zirconia
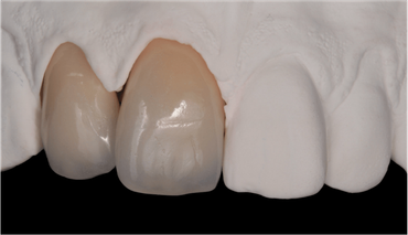
This is our recommended restoration for anterior work. For strength and accuracy of margins, we design a custom zirconia substructure with strength in mind and mill it in-house. A Certified Dental Technician then custom layers porcelain over the coping, for a truly aesthetic restoration.

Brux "R"
Full Contour Zirconia
The Brux "R" crown is all zirconia, so there is no risk of porcelain fracture. Designed with extreme attention to detail and milled using our CAD/CAM system, we are proud to produce crowns with margins, occlusion, and interproximal contacts that fit our models perfectly. They are custom colored and glazed by hand, allowing us to achieve non-standard shades.
Full Cast Gold
These crowns are designed digitally and milled out of sturdy wax to yield tight fitting, smooth margins. They are cast into Mowrey M120 gold alloy, adjusted to fit, and polished for an accurate and beautiful final product!
Implant Abutments
We can order custom made implant abutments for each case, and build a restoration that fits it perfectly.
e.Max Press
Interested in e.Max? We've got it. We design the crown using our CAD system and press it for a full ceramic restoration.

Porcelain Veneer
For patients seeking a more aesthetic restoration for their mouth and who don't want to prep healthy teeth, we offer minimal prep porcelain veneers crafted as our PFZ, Brux "R", or e.max pressable restorations.

Fit to Partial Denture
We are able to scan partial dentures to ensure that our digitally designed crowns fit them well. We offer free pick up and drop off at our dentists' offices, or the patient may drop off and pick up at their convenience at our lab in Finneytown.

